Implantat:

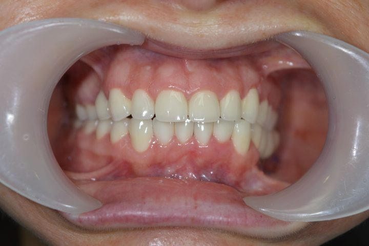
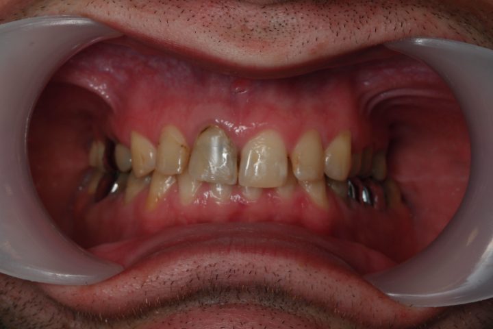
Chris

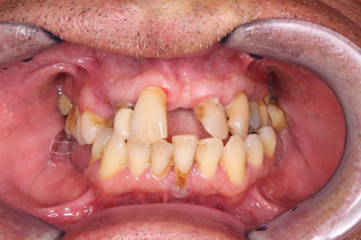
Chris ist ein 31-jähriger Engländer. Wegen dem unsystematischen Lebensstil und der nachlässigen Zahnreinigungsgewohnheit sind ein paar Zähne bis seinem 30. Geburtstag übrig, und sind in rettungslosem Zustand.

Als er die Klinik besucht hat, konnte nicht mehr essen, weil er immer unter Kieferschmerzen gelitten hat. Aufgrund von der CT-Aufnahme hat Frau. Dr. Erdélyi den Behandlungsplan erstellt. Die übrigen Zähne wurden aus dem Grund von einer großen Entzündung entfernen.
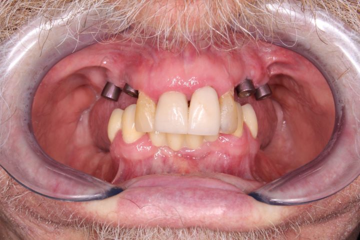
In der gleichen Behandlung hat er noch oben 4, und unten 6 Implantate bekommen, daneben hat er im Ablauf den 5 Tagen provisorischen Zahnersatz gekriegt.
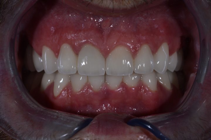
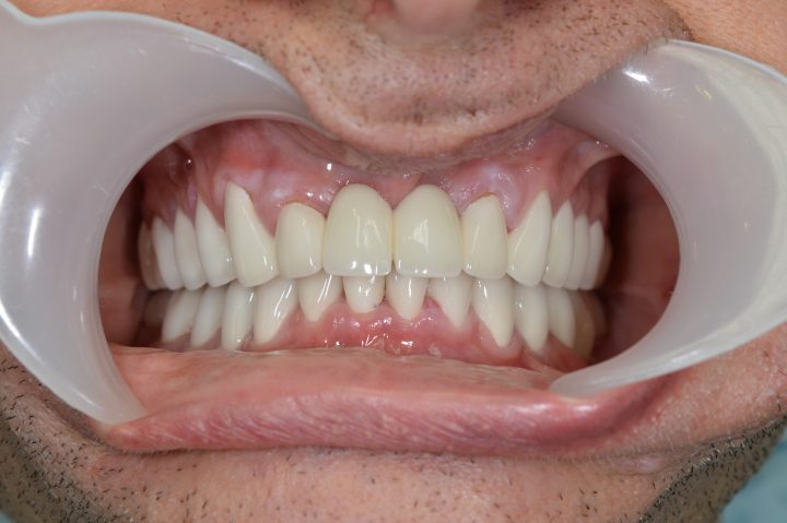
Danach hatte er 4 Monate lange Heilungszeit, bald war den endgültigen Zahnersatz fertig: Oben wird eine Stegprothese auf 4 Implantate bearbeitet, unten wird eine Brücke auf 6 Implantate befestigt.

Chris Leben hat sich radikal nach der Behandlung verändert. Er wagt wieder kennenlernen und lebt schon zwanglos.

Daniel

Daniel ist ein 54-jähriger Lastwagenfahrer. Seit seiner Kindheit hatte er schlechte Zähne, bis er in die Klinik kam, alle fallen raus.
Aufgrund von der CT- Aufnahme haben wir mit dem Patienten zusammen entschieden, dass wir 4-4 Alpha Bio Implantate in Ober- und Unterkiefer einsetzen.
Die Operation dauert zweimal 1,5 Stunden lang, und wurde der provisorische Zahnersatz im Ablauf den 5 Tagen fertig. Nach der 3 Monate langen Heilungszeit wurden zwei Stegprothesen auf 4-4 Implantate befestigt.
Die Implantatprothese sichert die Stabilität für den Patienten, so konnte Daniel am Ende der Behandlung wieder Steak essen, was sein Traum war.

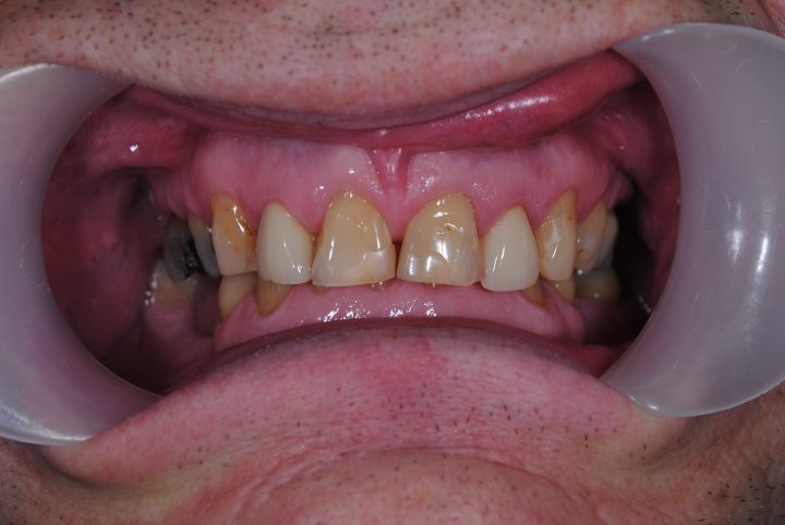
Ibrahim

Ibrahim ist einen von den französischen Patienten, wer früher sowohl oben, als auch unten herausnehmbare Zahnersatz hatte. Die Prothese hatte große Gaumenplatte, und deswegen konnte er die obere nicht tragen.
Er hatte ständig Brechreiz, und hat immer gewürgt, daneben war die Stabilität auch problematisch.
Die Prothesen haben sich ohne Klebstoff bewegt, und er hat sich aufgeregt, wenn er gesprochen hat. Er hatte davon Angst, dass die Prothese einmal ausfällt. Deswegen hat er die Klinik besucht.
Er hat oben und unten festsitzende Prothese auf Implantaten bekommen, womit er restlos zufrieden war. Diese Prothesen bewegen sich nicht weder beim Kauen, noch beim Sprechen.
Dank der Prothese, die keine Gaumenplatte hat, kann er sorglos den Zahnersatz tragen.

Garreth

Garreth ist ein englischer Synchronisationsschauspieler. Der Zustand seinen Zähnen hat die Lautbildung und seinen Gesundheitszustand schon seit langem gestört.
Wegen seiner Arbeit war die herausnehmbare Prothese ausgeschlossen, weil die Lautbildung und die Sprache sich verändern würden.
Zu gleicher Zeit wurden die obere, zweiseitige Knochenaufbau und die obere Implantation im Kauen Region durchgeführt. Auf beiden Seiten haben wir schweizerische Straumann Implantate, Premium Qualität benutzt.
Er hat unten, in die Kauenregion 2-2 Implantate bekommen. Nach der 6 Monate lange Heilungszeit wurden metallfreie Zirkonkronen auf den Frontzähnen bearbeitet, und auf Implantate Metallkeramik Kronen hergestellt.

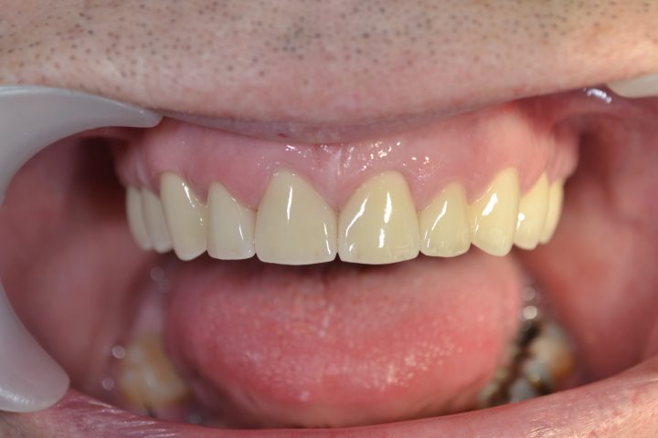
Mark

Mark ist ein englischer Patient bei uns, der sich in seinem ganzen Leben nach weißen Zähnen gesehnt hat. Sein Fall ist unregelmäßig, weil er früher eine andere ungarische Zahnklinik besucht, hat, wo er Implantate bekommen hat. Aber er war mit der Patientbetreuung nicht zufrieden.
Auf den Rat von seinem Freund hat er so entschieden, dass er die Behandlung in der Zahnklinik Centrocc Dental beenden möchte. Er hat diese Entscheidung nicht bereut, und hat die Klinik seinen alten Traum verwirklicht.
Auf seine Implantate haben wir durch Frau Dr. Erdélyi insgesamt 24 Stück Metallkremaik Kronen bearbeitet.

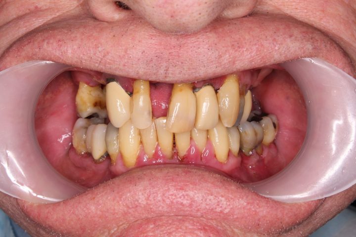
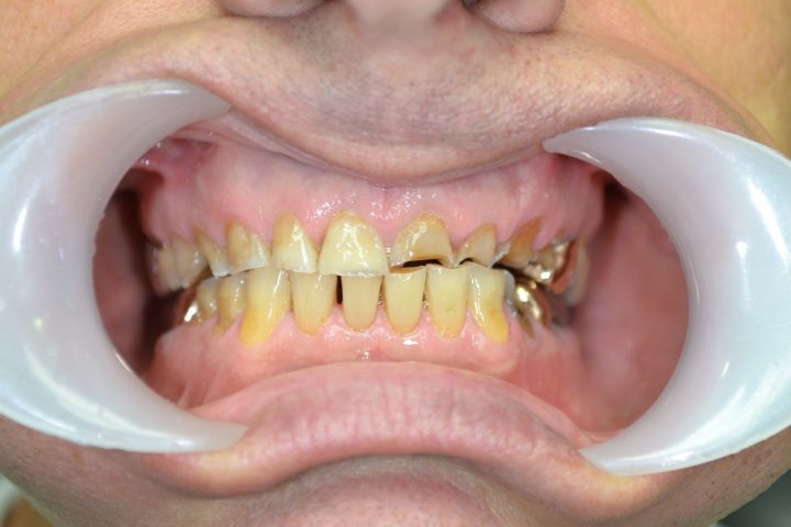
Alaein

Alaein ist ein aus der Schweiz ankommender Patient. Jahrelang hat er jede Nacht Seine Zähne geknirscht, und ist Ihr Gebiss tief gesunken. Seine Zähne wurde zerbrochen, und wir mussten die Zähne unten links wegen einer Entzündung entfernen.
Im ersten Schritt hat Herr Dr. Szendrei die rettungslosen Zähne entfernt und im Ablauf den 5 Tagen wurde provisorischen Zahnersatz angefertigt.
Er hat die unteren 4 Nobel Biocare Implantate bekommen, dann konnte er avom folgenden Tag, nach der Kontrolle nach Hause fliegen.
Bis zum dritten Behandlung musste er 3 Monate lang warten.
Die Verknöcherung den Implantaten haben wir ihn im Ablauf 8 Tagen oben und unten auf alle Zähne Krone angefertigt, daneben sowohl die Höhe, als auch die Kauenfunktion seines echten Gebisses wiederhergestellt.

Simona

Simona ist eine schweizerische Patientin. Seit ihrer Kindheit hat sie Angst vom Zahnarzt wegen einem Kindheitserlebnis. Sie war 9 Jahre alt, wann sie letztes Mal eine Zahnklinik besucht hat.
Nach langem Zureden hat sie am ihren 40. Geburtstag entschieden, dass sie ihre Zähne erneuert.Ihre Cousine hat die Dienstleistungen von Centrocc Dental schon früher gewählt.
Sie hat nur gute Sachen über die Zahnklinik gehört, war die Wahl nicht schwierig. Aufgrund von der CT-Aufnahme und von ihren Wünschen hat Frau Dr. Erdélyi den Behandlungsplan erstellt.
Laut dem Behandlungsplan hat sie oben 4 Stück Alpha Bio Implantate in der ersten Etappe bekommen, die 2 Arbeitstage beansprucht hat.
Danach war die Heilungszeit, die 3 Monate lang dauerte. Nach Ende der Heilungszeit haben wir festsitzende Kronen auf ihren eigenen Zähnen, und auf Implantaten bearbeitet, damit das ästhetische Problem und die Zahnlücke gelöst haben.
Unten hat sie auch festsitzende Kronen bekommen. Wir brauchen 10 Tagen 28 Stück Metallkeramik Krone anzufertigen. Simona hat sich selbst mit einem neuen Lächeln überrascht.

Krone:

Gustav

Gustav ist ein 51-Jähriger Buchhalter in der Schweiz. Er ist rationell, behandelt seine Geldsache verantwortungsvoll und umsichtig. Er bedacht immer gründlich, worauf, und wie viel Geld er wendet.
Er hat besorgt die schweizerische Preisliste angeschaut. Diese Preise waren zu Ihrem Lohn zu hoch, deswegen hat er lange Zeit die zahnärztliche Behandlung verzögert.
Sein Sohn ist Informatiker, und hat seinen Vater nach einem Familienmitaggessen überzeugt, dass er nicht nur inländische Zahnkliniken auf der Internet suchen soll, sondern andere europäische Kliniken, wo er dieselbe hohe Qualität, aber noch bessere Bereuung bekommen können, wie zu Hause.
So hat Gustav auf Centrocc Dental gefunden, hat zur kostenlosen Sprechstunde gemeldet, wo die Zahnärzte sofort sympathisch waren. Er hat einen Behandlungsplan mit den Kosten bekommen, womit er sehr zufrieden war.
Er hat die Behandlung nicht mehr verzögert, hat die Flugtickets gekauft, und 2 Wochen später hat die Behandlung angefangen.
Wir haben den Ersatz den fehlenden Zähnen und die Behandlung den nicht gut erhaltenen Zähne mit Metallkeramik Brücken, beziehungsweise Metallkeramik Kronen gelöst, dazu brauchten wir nur 2 Wochen.
Seitdem wagt Gustav lächeln, und hat sehr viel darauf gespart, dass er statt die schweizerischen Praxen uns gewählt haben, dass er seine Familie mit einem Urlaub nach Spanien überrascht hat.

Peter

Peter hat eine eigene Bäckerei, und in seiner Freizeit mag er Drachenflug zu machen.
Am unglücklichen Wochenende erlitt er Unfall bei der Landung. Er trug eine leichte Verletzung davon, aber sind zwei Frontzähne abgebrochen.
Seine Eltern sind schon seit mehreren Jahren die Patienten von der Centrocc Klinik, deswegen hat er ohne langes Überlegen im Jahr 2017 zu uns wendete.
Um sich zu beruhigen, hat Herr Dr. Lauko gesagt, dass wir im Ablauf eines Tages mit dem provisorischen Zahnersatz die Zahnlücke auffüllen kann.
Herr Dr. Szendrei hat Peter auf Caries, beziehungsweise die anderen Zahnlücken aufmerksam gemacht, und einen Behandlungsplan erstellt.
Peter hat den Behandlungsplan überlegt. Danach hat er entschieden, dass er alle Zähne machen lassen möchte, weil die durcheinander stehenden Zähnen ihn gestört haben.
So, nach der 14 Wochen langen Heilungszeit, im Oktober 2017ist er zweites Mal nach Budapest geflogen, wann er oben und unten insgesamt 28 Stück metallfreie Zirkon Kronen im Ablauf 12 Tagen bekommen hat.
Peter macht noch immer Drachenflieger, aber trägt immer Zahnschienen zum Fliegen.

David

David ist ein englischer Patient. Vor ein paar Jahren wurde ein Frontzahn in seinem Wohnort, Birmingham entfernt, seitdem trägt er herausnehmbare Prothese.
Er war mit dieser Prothese nie zufrieden, aber wollte wegen den hohen Preisen keine zahnärztliche Behandlung beginnen.
Von unterschiedlichen Personen hat er über die Niveau von der ungarischen zahnärztlichen Betreuung gehört, deswegen hat er so entschieden, dass er eine Chance für Centrocc Dental gibt. Sein Freund war schon früher in der Klinik Centrocc Dental, so hat er die Klinik gefunden.
Aufgrund von der PAranomaraaufnahme hat Frau Dr. Erdélyi einen Behandlungsplan erstellt. Der Behandlungsplan handelt von den Lösungen den ästhetischen und funktionellen Problemen.
Er musste nur insgesamt nur einmal nach Budapest zu fahren, und ist 10 Tage lang hier geblieben. Im Ablauf 10 Tagen hat Frau Dr. Erdélyi 24 Stück Metallkeramik Kronen angefertigt, und der Preis war der Bruchteil vom englischen Preis.
Seitdem ist die ganze Familie von David der Patient von Centrocc Dental. Es gibt nicht schönere Anerkennung.

Clive

Clive kam aus England, und war im Jahr 2016 bei uns. Früher war er Berufsboxer, deswegen hatte er abgehärmte Zähne. Bis seinem 50. Geburtstag hat er sehr viele Zähne verloren, und die übrigen waren abgebrochen und verfärbt.
Er hatte 10 Tage lange Behandlung in der Zahnklinik Centrocc Dental. Sein Traum wurde erfüllt, Frau Dr. Erdélyi hat ihm schneeweißes, ausgezeichnetes Lächeln mit der Hilfe von 18 Stück Metallkeramik Kronen gezaubert.

Bianca

Bianca ist eine Zürcher Patientin. Sie hat mit der Hoffnung unsere Zürcher Klinik aufgesucht, dass wir Lösung auf Ihre verfärbten und konsistenten Zähnen bieten können.
Wir haben in Zürich Panoramaaufnahme gemacht, und danach einen Behandlungsplan mit 10 Stück metallfreie Zirkonkronen erstellt.
Die Behandlung dauerte 5 Tage lang in Budapest. Seit am Ende der Behandlung kann sie wieder selbstbewusst lächeln.

Anita

Anita ist eine ungarische Patientin, die als Konditoreimasterin arbeitet. Ihre Schwester hat sie uns empfehlt.
Sie hat ihre eigene Zähne schon lange Zeit vernachlässigt, deswegen war sie nicht überrascht, wann Herr Dr. Szendrei einen umfassenden Behandlungsplan aufgrund von der Panoramaaufnahme erstellt.
Wegen der Zahnfleischentzündung haben wir in mehreren Schritten die Zahnsteinentfernung und die Zahnfleischtaschereinigung gemacht. Danach kamen die Vorbereitungsschritten: Sie mussten 6 Zähne wurzelbehandeln, und auf jeden oberen und unteren Zähne haben wir Zirkon Kronen angefertigt.
Anita war mit dem Ergebnis sehr zufrieden, hat Ihre Selbstbewusstsein zurückgewonnen, und seitdem hat Herr Dr. Szendrei sie wunderschönes Lächeln gezaubert, hat sie sich für mehreren Konditoreiwettbewerben gemeldet, wo sie eine gute Platzierung erreicht hat.
Centrocc Dental Team hat mehrmals Kostprobe bekommen, die wir hier auch bedanken möchten. 🙂

Sofie

Sofie ist eine 43-jährige norwegische Patientin. Seit mehreren Jahren hat sie nur gesehen, dass ihre Zähne abnützen und verkürzen. Sie wurde mit diesen Zähnen immer älterer ausgesehen. Seit ihrer Kindheit hat die durcheinanderstehenden Zähnen sie gestört, und unten linkt hat sie eine Zahnlücke, die beim Essen sehr unangenehm war. Aus diesen Gründen hat sie uns aufgesucht,
Sofie musste nur einmal nach Budapest zu fahren, und wir konnten ihr Lächeln vervollkommnen: Im Ablauf 10 Tagen wurden auf der oberen Region 14 metallfreie Krone, auf der unteren Region 10 Zirkonkronen und eine, aus 4 Stück stehende Brücke bearbeitet.
Sie hat angezeigt, dass sie sich vor 20 Jahren nicht wohlgefühlt hat, aber jetzt schon- Diese Entscheidung war das Beste, dass sie diese Behandlung in der Zahnklinik Centrocc Dental machen gelassen hat.

Heinz

Heinz ist verbittert im Jahr 2015 zu der Überzeugung gekommen, dass er sich zur Sprechstunde in Zürich melden muss. Vor 25 Jahren hatte er Kronen bekommen, und jetzt muss diese Zähnen, beziehungsweise die abnützten Zähnen entfernen, und dann würde er eine Prothese bekommen.
Herr Dr. Szendrei hat eine Panoramaaufnahme gemacht, und hat Heinz wiederlegt, weil die Zähne nicht in einem solchen schlechten Zustand, dass wir die entfernen sollen. Der Zahnarzt hat oben und unten Kronen geplant.
Heinz ist glücklich nach Hause gekommen, und erzählt seiner Frau die gute Nachricht. Sie waren zusammen 2 Wochen lang in Budapest, im Ablauf dieser Zeit wurden 14 Sütck untere und 14 Stück obere Zirkonkrone angefertigt.
Heinz war mit dem Ergebnis sehr zufrieden, und freute sich, dass er die Behandlung nicht mehr verzögert hat, und so hatte er zum Glück keine Zahnentfernung.

Giuseppe

Giuseppe lebt in Italien. Er hat den Ersatz seinen Zahnlücken wegen finanziellen Gründen verzögert.
Wann es ihm immer ernstes Problem gemacht hat, wie zum Beispiel ist sein Gebiss gesunken und damit konnte er schon schwer kauen. Er hat uch aufgesucht, dass wir ihm helfen werden. Frau Dr. Erdélyi hat mit 28 Stück metallfreie Kronen/Brücken die Zähne von Giuseppe ästhetisch und funktionell wiederhergestellt.
Giuseppe hat stolz erzählt, dass er mit den verschönten Zähnen zu Hause ist, nennen die Bekannten ihn zu Hause als „Brad Pitt“.

Schale/Venee:

Ottó

Ottó ist ein 45-jähriger ungarischer Anwalt. Seine Frau ist seit mehreren Jahren unsere Patientin, und kommt tüchtig immer zur Kontrolle in jeden 6. Monat, so braucht sie nur kleine Behandlungen.
Gegenüber Ottó, wer wegen eine schlechte, schmerzhafte Erinnerung schon seit 8 Jahren keine Zahnklinik besucht hat. Endlich hat er nach langem Zureden von seiner Frau unsere Zahnklinik aufgesucht. Zur ersten Konsultation hat seine Frau ihn auch begleitet.
Herr Dr. Szendrei hat einen Behandlungsplan erstellt, den sie Schritt zu Schritt zusammen besprochen haben. Nach seiner Erzählung konnte er vor der ersten Behandlung nicht schlafen, aber wie er die Spritze bekommen hat, hatte er gar nicht gefühlt. Er hat so beruhigt, dass er mehrmals im Stuhl geschlafen hat.
Herr Dfr. Szendrei hat den Zustand den Zähnen untersucht, und die Behandlung war davon abhängig. Im Ablauf 9 Tagen wurden 10 Stück Kreamikschale und 18 Stück metallfreie Krone bearbeitet, und dazu brauchte Herr Dr. Szendrei insgesamt 2 Sitzungen.
Otto war stolz darauf, dass er die Behandlung angefangen hat, und wir sind sotlz auf Otto, dass er die schlechte Gewohnheit abbrechen konnte, und mit dem neuen Zahnersatz kam er regelmäßig zur Kontrolle.

Christine

Christine ist unsere deutsche Patientin, die sich im Jahr 2016 bei uns gemeldet hat, wann sie bei ihrer ungarischen Cousine besuchte. Sie war 1 Monat lang in Ungarn.
Es war ein alter Traum, dass sie ihre nicht gut erhaltenen Zähne wiederherstellen wollte, aber sie konnte wegen den deutschen Preisen immer nur 1-1 Behandlung machen lassen.
Die Cousine von Christine hat uns selbstbewusst empfehlt, weil ihre Familie schon sie Jahre lang uns besuchen. Sie hat Christine zur Zustandserhebung begleitet. Christine traute ihren Augen nicht, wann sie den Preis gesehen hat. Sie konnte sich diese Behandlung endlich erlauben, und so hätte sie glänzende, weiße Zähne.
Wir haben alle Zähne bearbeitet, oben hat sie 6 Stück Kermaikschalen, 8 Stück metallfreie Kronen bekommen, daneben unten 14 Stück metallfreie Kronen.
Wann Chrisine zu Hause, in Deutschland war, hat sie glücklich darüber geredet, dass sie wir viele Anerkennung wegen ihrem neuen Lächeln findet, und seitdem bekommen wir immer Anmeldungen aus der Stadt von Christine.

Jean-Claude

Jean-Claude arbeitet als Chirurg im Zürcher Krankenhaus. Im Januar 2018 hat er uns aufgesucht, und berichtete uns darüber,- wahrscheinlich hat er stressiges Leben- dass er in der Nacht knirscht, und tagsüber drückt die Zähne zusammen. Es ist natürlich Spur zu sehen, die Zähne haben verkürzt, und dort hatte er immer Kieferschmerz.
Unten links hatte er schon als Kind eine Zahnentfernung, der Ersatz dieser Zahnlücke hat er nicht rasch gedacht. Herr Dr. Szendrei hat ihn aufgeklärt, dass es auch eine Rolle im Kieferschmerz spielt. Daneben war er ästhetisch mit den Zähnen auch nicht zufrieden. Jean-Claude hat so gefühlt, dass er schon 40. Jahre alt ist, die Zeit ist schon gekommen, wann er für seine Gesundheit und für sein Lächeln tun muss.
Jean-Claude war 2 Wochen lang in Budapest im Februar 2018, darunter hat Herr Dr. Szendrei 20 Stück Zirkonkronen und 6 Stück Keramikschale bearbeitet. Jean-Claude ist mit dem Ergebnis sehr zufrieden, und betonte, aufgrund von seinem Erfahrung kann die schweizerische zahnärztliche Betreuung nicht mit dem ungarischen messen.

Alice

Alice ist eine 28-jährige Modellberaterin. Sie lebt für ihre Arbeit, sie ist der Meinung, dass unser Äußere unsere Innere spiegelt. Ihr Ziel, für die Patienten zu helfen.
Sie hat sich selbst nicht ausgesöhnt, und so fühlte, dass Ihre Zähne den inneren Glanz und die Lebenslust nicht zeigen. Deswegen hat sie im März 2017 zu uns gekommen. Sie hatte eine konkrete Vorstellung.
Sie hat mit Frau Dr. Erdélyi die Übereinstimmung sofort gefunden, die schon 10 Stück obere und 10 Stück untere Kreamikschale, daneben 4 Stück metallfreie Kronen im Ablauf 2 Wochen bearbeitet, und damit für Alice ein neues Lächeln gezaubert. Alice kann noch authentischer das positive Denken strahlen, was in sie lebt.
Ein Kulissengeheimnis, dass sie unsere Arbeitskleidung gewählt hat.

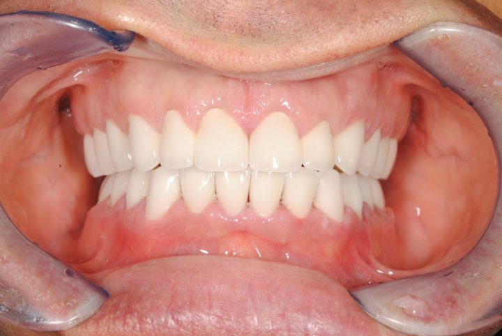
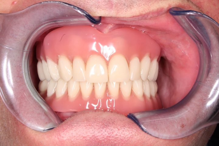
Prothese:

Catharine

Catharine kam aus England in unserer Praxis. Seit langem hat sie keinen Mut in einer zahnärztlichen Behandlung anzufangen, aber 3 Zähne sind im Ablauf 3 Monate rausgefallen. Das war der Moment, wenn sie so fühlte, dass sie nicht warten dürfen.
Leider konnten wir wegen ihrer fortgeschrittenen Zahnbetterkranung die oberen Zähne nicht retten.
Die CT-Aufnahme wurde schon fertig, und Frau Dr. Erdélyi hat sich für die Zahnentfernung von allen oberen Zähnen entschieden.
Wegen der Zahnbetterkrankung hat sie papierdünnen Knochen, das bedeutet, dass die Implantation ohne Knochenaufbau nicht erfolgreich wird.
Nach dem Knochenaufbau dauert die Heilungszeit lang, daneben war der Preis zu hoch für Christine. Deswegen hat sie so entschieden, dass sie die Implantation nicht beginnen möchte.
Nach der Zahnentfernungen in oberen Region hat sie sofort einen provisorischen Zahnersatz auf Oberkiefer bekommen, und nach der Zahnentfernungen in der Frontregion provisorischen, festsitzenden Brückenglied bekommen.
Wir brachten dazu 5 Arbeitstage in Budapest, danach kam die 2 Monate lange Heilungszeit, und kam Catharine wegen der 2. Behandlung nach Budapest zurück.
In diesem Fall haben wir im Ablauf 10 Tage auf Oberkiefer eine Vollprothese, auf Unterkiefer 12 Stück Metallkeramikkronen angefertigt. Catherin kann wieder lächelnd und ohne Schmerz essen.

Zita

Zita ist eine schweizerische Patientin. Sie hat unserer Klinik im Jahr 2014 aufgesucht. Früher hatte sie oben Sanierung in Zürich, und hat eine Prothese in der Schweiz bekommen, die sie nie tragen konnte,
In Zürich hat Herr Dr. Szendrei eine CT-Aufnahme gemacht, und aufgrund von der Aufnahme einen Behandlungsplan erstellt.
Sie musste zweimal nach Budapest zu fahren. Beim ersten Besuch hat Herr Dr. Szendrei im Ablauf 5 Tagen die unten bewegenden Zähne entfernt, danach sowohl im Ober- als auch im Unterkiefer in der Frontregion 4-4 Stück Nobel Biocare Replace Implantate eingesetzt.
Natürlich wurde provisorische Prothese auch angefertigt.
Danach kam die 4 Monate lange Heilungszeit, zwischenzeit mussten die Implantate sich verknöchern. Danach war Zita 10 Tage lang in Budapest.
Im Ablauf 10 Tagen wurde eine sogenannte Stegprothese bearbeitet, die auf den Implantaten befestigt wurde, so sichert die ausgezeichnete Stabilität.
Beim Essen bewegt sich die Prothese auch nicht, hat keine Gaumenplatte, und braucht man dazu keinen Klebstoff.

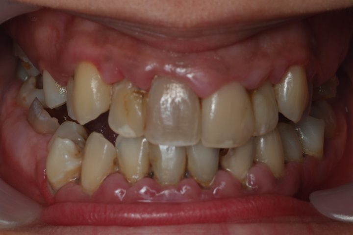
Christina

Christina ist eine Patientin aus Lyon. Sie hat schon seit 40 Jahren starke Schmerzen, die auf ihren eigenen Zähnen auch schaubar ist. Wann sie unsere Praxis aufgesucht hat, hatte sie schon endlose Schmerzen beim Kauen sowohl oben, als auch unten.
In Budapest wurde der Behandlungsplan beim ersten Besuch hergestellt, den Christina sofort angefangen hat.
Beim ersten Besuch mussten wir 9 Zähne wegen der Entzünden entfernen, und haben wir provisorischen Zahnersatz erstellt.
Christina hat Angst von allen zahnärztlichen Behandlungen, hatte sie Abneigung gegen Implantaten.
Deswegen wurde eine Vollprothese oben angefertigt, und unten auf ihren eigenen Zähnen einen Brückenglied.
Unten wurde eine Brücke mit einer speziellen Befestigung hergestellt, und daneben eine herausnehmbare Prothese, damit Christina ohne Schmerz essen kann.
Als erstes Mal5 Tage lang, als zweites Mal 8 Tage lang hat sie in Budapest in der Praxis die Zeit verbracht.

Chris

Chris ist ein 31-jähriger Engländer. Wegen dem unsystematischen Lebensstil und der nachlässigen Zahnreinigungsgewohnheit sind ein paar Zähne bis seinem 30. Geburtstag übrig, und sind in rettungslosem Zustand.
Als er die Klinik besucht hat, konnte nicht mehr essen, weil er immer unter Kieferschmerzen gelitten hat. Aufgrund von der CT-Aufnahme hat Frau. Dr. Erdélyi den Behandlungsplan erstellt. Die übrigen Zähne wurden aus dem Grund von einer großen Entzündung entfernen.
In der gleichen Behandlung hat er noch oben 4, und unten 6 Implantate bekommen, daneben hat er im Ablauf den 5 Tagen provisorischen Zahnersatz gekriegt.
Die Implantatprothese sichert die Stabilität für den Patienten, so konnte Daniel am Ende der Behandlung wieder Steak essen, was sein Traum war.

Ibrahim

Ibrahim ist einen von den französischen Patienten, wer früher sowohl oben, als auch unten herausnehmbare Zahnersatz hatte. Die Prothese hatte große Gaumenplatte, und deswegen konnte er die obere nicht tragen.
Er hatte ständig Brechreiz, und hat immer gewürgt, daneben war die Stabilität auch problematisch.
Die Prothesen haben sich ohne Klebstoff bewegt, und er hat sich aufgeregt, wenn er gesprochen hat. Er hatte davon Angst, dass die Prothese einmal ausfällt. Deswegen hat er die Klinik besucht.
Er hat oben und unten festsitzende Prothese auf Implantaten bekommen, womit er restlos zufrieden war. Diese Prothesen bewegen sich nicht weder beim Kauen, noch beim Sprechen.
Dank der Prothese, die keine Gaumenplatte hat, kann er sorglos den Zahnersatz tragen.