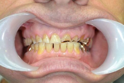
Die Zähne des Patienten waren aufgrund von Bruxismus komplett abgeschliffen. Zur Wiederherstellung der Funktion der Zähne und der Bissstellung haben wir 28 Stück Zirkonkeramik-Kronen angefertigt. Der Wunsch des Patienten war extraweiß, BL2 Zahnfarbe
Vorher
Nachher
