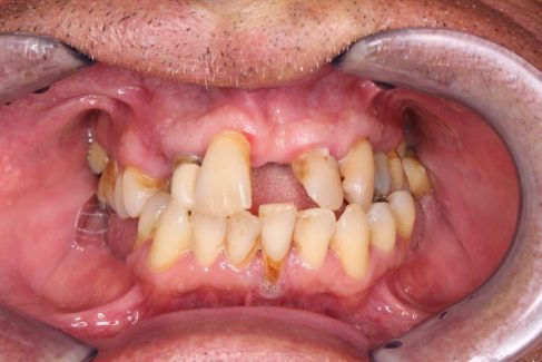
Vorher
Nachher

Nach der Entfernung der nicht mehr zu rettenden Zähne fertigten wir für den Patienten 28 Metallkeramikkronen an.

Möchten Sie einen Anruf?
Wir sind Fanni und Vanessza die Patienten-Koordinatorinnen von dr. med. dent. Balázs Szendrei Zahnarztpraxis. Bitte teilen Sie uns Ihren Namen und Telefonnummer mit und wir rufen Sie gerne an!