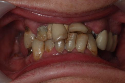
Wir haben dem Patienten die nicht mehr zu rettenden Zähne entfernt und einen provisorischen Zahnersatz angefertigt. Aus finanziellen Gründen haben wir Zahnrestaurationen ohne Implantate durchgeführt. Für den Oberkiefer wurde eine Vollprothese angefertigt, für den Unterkiefer wurde eine herausnehmbare Teilprothese aus Metallplatten mit Preci-Vertix-Verankerung angefertigt, mit einer 6-gliedrigen Metallkeramikbrücke an den Vorderzähnen. Wir benötigten 8 Arbeitstage, um die Behandlung abzuschließen.
Vorher
Nachher
